おかげさまで開設25周年SHOP.HARMONIXMUSICNG.COM 創業祭

SHOP.HARMONIXMUSICNG.COM

詳しくはこちら
マイストア マイストア 変更
  • 即日配送
  • 広告
  • 取置可能
  • 店頭受取

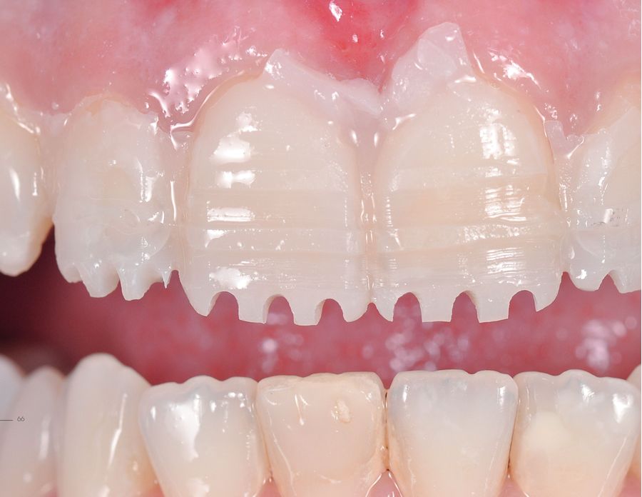
HOT ! ※裁断済み ラミネートベニア スマイルデザインのレシピ20 61n+NFTV9wL.jpg_BO30,255,255,

※SHOP.HARMONIXMUSICNG.COM 限定モデル
YouTuberの皆様に商品の使い心地などをご紹介いただいております!
紹介動画はこちら

ネット販売
価格(税込)

11600

  • コメリカード番号登録、コメリカードでお支払いで
    コメリポイント : 6ポイント獲得

コメリポイントについて

購入個数を減らす
購入個数を増やす

お店で受け取る お店で受け取る
(送料無料)

受け取り店舗:

お店を選ぶ

近くの店舗を確認する

納期目安:

13時までに注文→17時までにご用意

17時までに注文→翌朝までにご用意

受け取り方法・送料について

カートに入れる

配送する 配送する

納期目安:

2026.02.16 7:7頃のお届け予定です。

決済方法が、クレジット、代金引換の場合に限ります。その他の決済方法の場合はこちらをご確認ください。

※土・日・祝日の注文の場合や在庫状況によって、商品のお届けにお時間をいただく場合がございます。

即日出荷条件について

受け取り方法・送料について

カートに入れる

欲しいものリストに追加

欲しいものリストに追加されました

※裁断済み ラミネートベニア スマイルデザインのレシピ20 61n+NFTV9wL.jpg_BO30,255,255,の詳細情報

61n+NFTV9wL.jpg_BO30,255,255,。ラミネートベニア スマイルデザインのレシピ20 - クインテッセンス出版。ラミネートベニア スマイルデザインのレシピ20。裁断済み商品です。BHA・THA人工股関節置換術パーフェクト。マーカーでの線引きはございませんが、写真のように赤ペンでの書き込みが数ページあり、折り目があるページも20ページ程度ございます。仙道未来予知 察気の法 高藤聡一郎。神経質な方はご遠慮ください。ラミネートベニアで、スマイルをデザインする!その2。ご注意ください。裁断済み商品のため全体的に状態が悪いとしています。【裁断済】先天性心疾患の外科治療。【裁断済】エキゾチック臨床 Vol.15 モルモットの診療。またサイズが大きくそのままでは自宅でのスキャンが困難だったため、上部と下部それぞれ5mmずつカットしております。それにより文字が読めないレベルで切れていることはございません。下肢からある身体の機能改善法 2 DVDセット。骨格筋の形と触察法 (改訂第2版)。「ラミネートベニア スマイルデザインのレシピ20」新谷明一 / 大河雅之 / 大河雅之 / 山本恒一 / 上野博司 / Stefen Koubi / 髙山祐輔 / 中山大蔵 / 長谷川幸生 / 原口賀光 / ?木雄一朗定価: ¥ 45000#新谷明一 #大河雅之 #大河雅之 #山本恒一 #上野博司 #StefenKoubi #Stefen_Koubi #髙山祐輔 #中山大蔵 #長谷川幸生 #原口賀光 #木雄一朗 #本 #自然/医療・薬学・健康
  • 61n+NFTV9wL.jpg_BO30,255,255,
  • ラミネートベニア スマイルデザインのレシピ20 - クインテッセンス出版
  • ラミネートベニア スマイルデザインのレシピ20
  • ラミネートベニアで、スマイルをデザインする!その2

同じカテゴリの 商品を探す

ベストセラーランキングです

このカテゴリをもっと見る

この商品を見た人はこんな商品も見ています

近くの売り場の商品

このカテゴリをもっと見る

カスタマーレビュー

オススメ度  4.6点

現在、3786件のレビューが投稿されています。